.jpeg)
Dental veneers are thin, custom-made shells designed to cover the front surface of teeth and improve their appearance. They are commonly used to correct issues such as chipped, stained, misaligned, or uneven teeth, giving you a brighter and more balanced smile. Veneers are usually made from high-quality porcelain or composite materials that mimic the natural look of teeth while providing durability and stain resistance. With minimal tooth preparation, veneers offer a long-lasting and effective cosmetic solution for achieving a confident, natural-looking smile. Dental veneers are a popular cosmetic dentistry treatment used to improve the appearance of teeth by correcting stains, chips, gaps, and minor misalignment. At our clinic, we offer porcelain veneers and composite veneers designed to create a natural-looking, confident smile. Patients looking for smile makeover treatments, veneers for stained teeth, veneers for chipped teeth, and veneers for gap closure can benefit from this minimally invasive procedure. If you are searching for best dental veneers, cosmetic dentist for veneers, veneers treatment in Bangalore, or smile design with veneers, our expert team provides personalized solutions for long-lasting and aesthetically pleasing results. We are one stop solution for all your dental problems. Together we make you smile. Consult us now. Contact us at 7259693009. Dentist near me, Best dental clinic in Bangalore, smile dental clinic, Orthodontic center Bangalore, Orthodontic center in BTM Jayanagar HSR, Top 10 dental clinic in Bangalore, Best dental clinic is BTM HSR Jayanagar, Invisalign, Invisalign clear aligners, Invisalign treatment, Invisalign treatment in Bangalore, Braces in Bangalore, Braces in BTM Jayanagar HSR, Invisalign in South of Bangalore.
updated: 12/03/2026

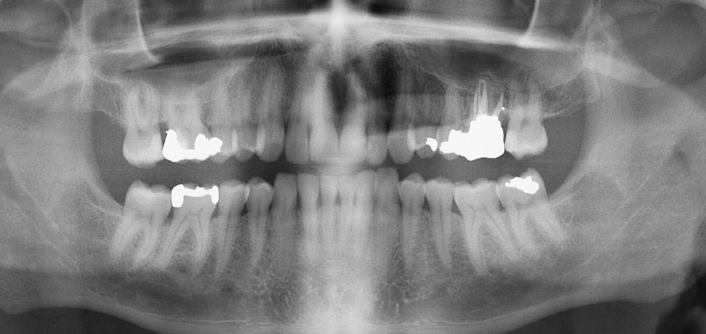
An OPG (Orthopantomogram) is a digital panoramic dental X-ray that provides a complete view of your upper and lower jaws, teeth, jaw joints, and surrounding structures in a single image. At our clinic, we use advanced OPG imaging to accurately assess impacted teeth, wisdom teeth, jaw alignment, infections, cysts, and bone health. This quick, painless, and low-radiation scan helps us diagnose conditions early and create precise treatment plans for braces, Invisalign, implants, and other dental procedures. Our clinic offers advanced OPG scan services, including digital orthopantomogram X-ray, panoramic dental X-ray, full mouth dental scan, and low-radiation dental imaging. We specialize in OPG for braces treatment, Invisalign planning, wisdom tooth assessment, impacted teeth diagnosis, jaw alignment evaluation, TMJ analysis, dental infection detection, cyst screening, and pre-implant assessment. If you are looking for an OPG scan near me, panoramic dental X-ray clinic, orthodontic X-ray services, or accurate dental imaging for treatment planning, our modern diagnostic technology ensures safe, quick, and precise results. We are one stop solution for all your dental problems. Together we make you smile. Consult us now. Contact us at 7259693009. Dentist near me, Best dental clinic in Bangalore, smile dental clinic, Orthodontic center Bangalore, Orthodontic center in BTM Jayanagar HSR, Top 10 dental clinic in Bangalore, Best dental clinic is BTM HSR Jayanagar, Invisalign, Invisalign clear aligners, Invisalign treatment, Invisalign treatment in Bangalore, Braces in Bangalore, Braces in BTM Jayanagar HSR, Invisalign in South of Bangalore.
updated: 11/02/2026

Dental implants are a modern, long-term solution for replacing missing teeth that look, feel, and function like natural teeth. They consist of a biocompatible titanium post that is placed into the jawbone, acting as an artificial tooth root, over which a custom-made crown, bridge, or denture is fixed. Implants help restore chewing efficiency, speech, and confidence while also preventing bone loss and maintaining facial structure. With proper planning, advanced technology, and good oral hygiene, dental implants offer a highly predictable, durable, and aesthetically pleasing option for patients seeking a permanent replacement for missing teeth. Dental implants, dental implant treatment, best dental implants, tooth replacement options, missing teeth solution, permanent tooth replacement, implant dentist near me, dental implant clinic, titanium dental implants, single tooth implant, multiple teeth implants, full mouth dental implants, all-on-4 dental implants, implant-supported dentures, painless dental implants, advanced implant dentistry, affordable dental implants, long-lasting tooth replacement, natural-looking dental implants, smile restoration, bone loss prevention, modern dental implant technology, implant consultation, dental implant cost, and post-implant care are some of the most searched terms related to dental implants and are commonly used by patients looking for a safe, reliable, and permanent solution for missing teeth. We are one stop solution for all your dental problems. Together we make you smile. Consult us now. Contact us at 7259693009. Dentist near me, Best dental clinic in Bangalore, smile dental clinic, Orthodontic center Bangalore, Orthodontic center in BTM Jayanagar HSR, Top 10 dental clinic in Bangalore, Best dental clinic is BTM HSR Jayanagar, Invisalign, Invisalign clear aligners, Invisalign treatment, Invisalign treatment in Bangalore, Braces in Bangalore, Braces in BTM Jayanagar HSR, Invisalign in South of Bangalore.
updated: 05/02/2026
Embark on your personalized smile makeover journey, supported by our expert guidance at every turn. Witness the gradual transformation of your smile and join us in celebrating each milestone with top-tier Invisalign treatments available in Bangalore. Our commitment is to walk alongside you throughout this unique journey towards achieving your ideal smile.
Explore our featured transformations, where we highlight some of the most inspiring Invisalign journeys. Witness the amazing results achieved by our patients through their commitment to the Invisalign process. See how these transformations have positively impacted their lives, boosting their confidence and smiles.
Explore our featured transformations, where we highlight some of the most inspiring Invisalign journeys. Witness the amazing results achieved by our patients through their commitment to the Invisalign process. See how these transformations have positively impacted their lives, boosting their confidence and smiles.
#12, 1st Floor, Outer Ring Rd, BTM II Stage,
Bengaluru,
Karnataka
560076
© 2025 Drbraces. All rights reserved.
Developed & Secured By
Razz Security
.